Séminome Testiculaire – Diagnostic Anapath
19 février 2025

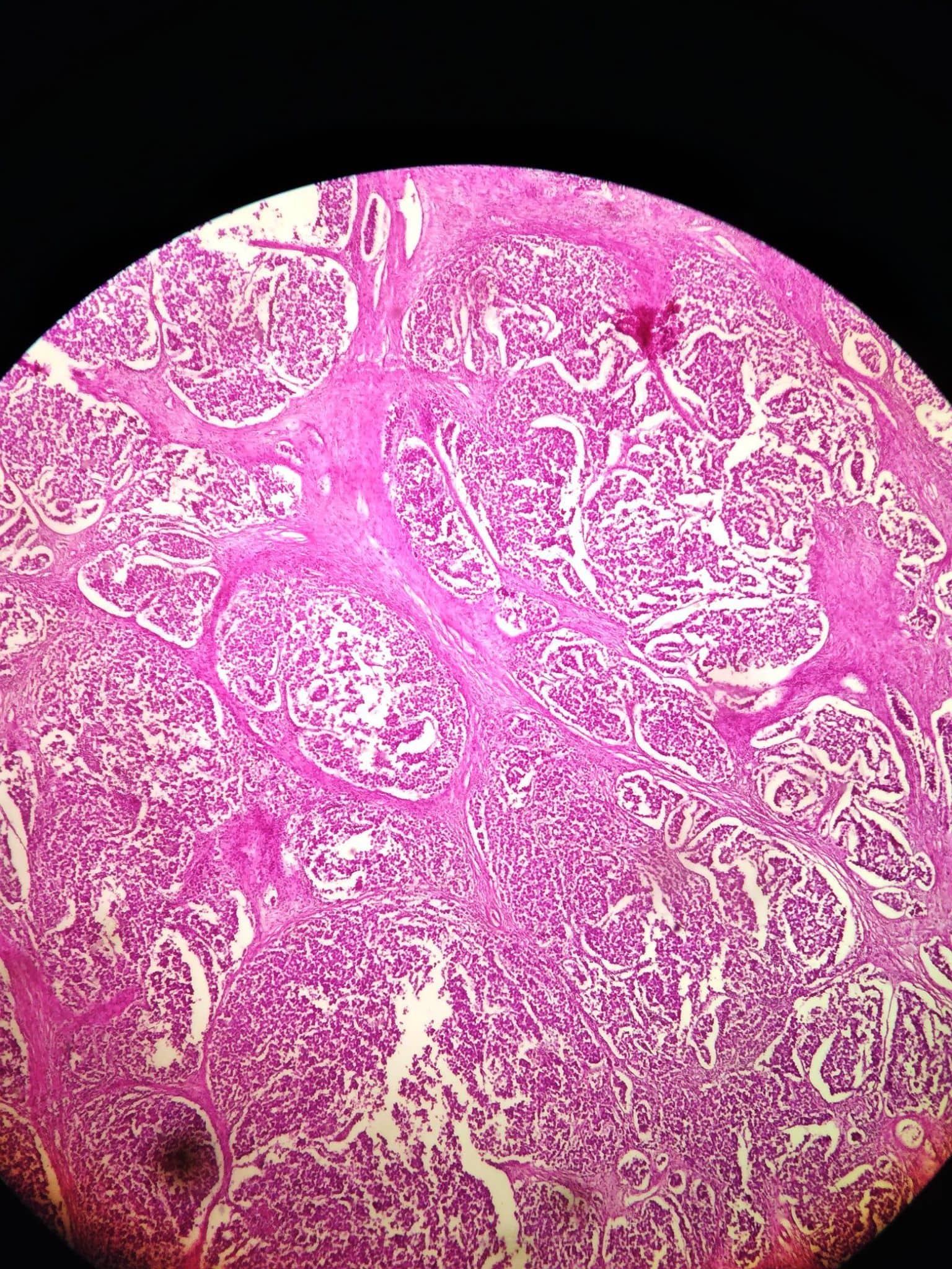
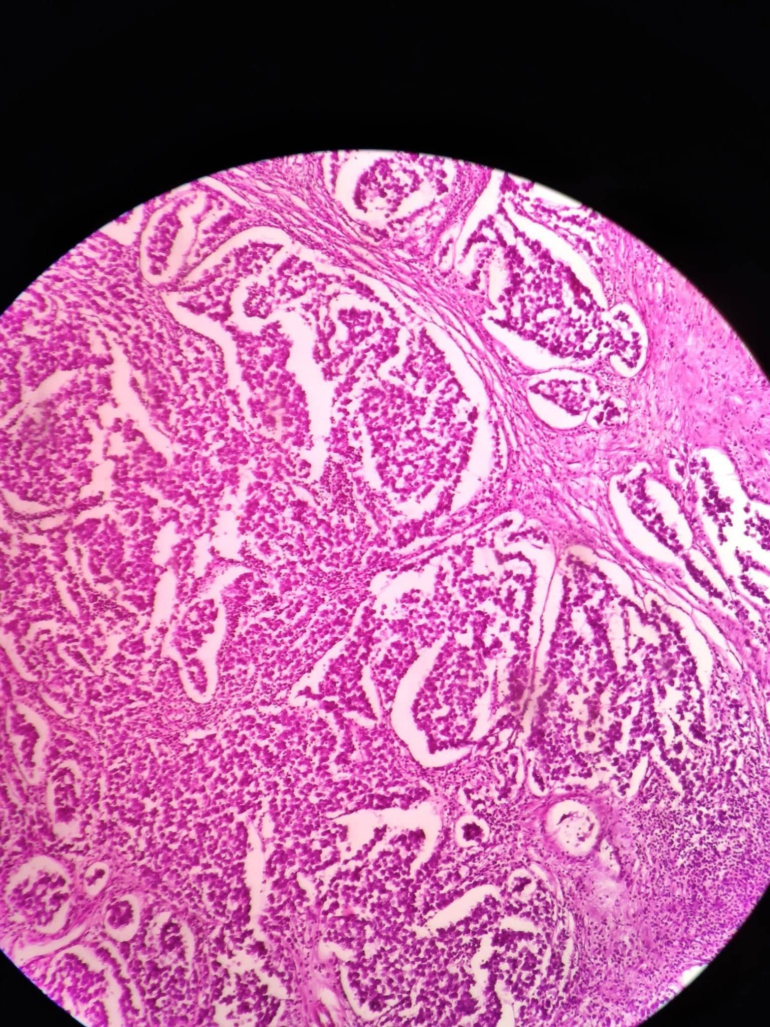
Voici le cas d'un homme de 35 ans qui présente une masse testiculaire latéralisée à droite.
Vous pouvez voir la pièce macroscopique qui montre un processus détruisant toute la pulpe testiculaire et qui demeure distant de la recoupe du cordon spermatique.


En microscopie, il apparait une prolifération néoplasique de nature germinale lobulée , composée de cellules monotones; le stroma est ponctué d'amas lymphocytaires.


le diagnostic de séminome est à retenir.

19 février 2025
Hybridation chromogénique in situ (CISH)
Le Laboratoire d'Anpath du Pr. Raissi Kerboua lance la technique CISH pour HeR2 2+, avec une plateforme conforme aux normes internationales.
.jpg&w=3840&q=70)
16 février 2025
Notre laboratoire se dote d’une plateforme de biologie moléculaire de pointe pour des analyses fiables. Bravo à nos biologistes pour leurs résultats en CISH Her2 amplifié !